[치주과]스케일링 및 잇몸병에 대하여
페이지 정보
작성자 관리자 작성일06-07-01 17:11 조회2,138회 댓글0건관련링크
본문
치과의사를 하면서 스케일링에 대한 정확한 이해부족으로 인하여 많은 환자들이 피해(?)를 보는일이 많은것 같아 안타까운 마음이 항상 있었는데 이렇게나마 설명을 드릴수 있어 다행이라 생각 됩니다.
일반인들(치과의사와 그에 관련된 종사자를 제외함)은 스케일링을 하면 이가 하얘진다거나 아니면 이가 시리게 된다는 말을 많이 합니다. 하지만 정확하 스케일링을 왜 하는지는 잘 모르고 있는 경우가 많습니다.
치석이란 치아표면이나 잇몸등의 표면에 침착된 석회화물질로서 일반적으로는 석회화된 치태랍니다. 10대초반에 나타나 점점 증가하여 40대가 되면 100%존재한다고 보면 됩니다.
종류는 잇몸위로 우리가 볼수있게 나와있는 치석과 잇몸속에 숨어있는 치은연하치석이 있습니다.
그러면 여기서 치태란 무엇인가:
치태는 치아나 치은 및 다른 구강주조물에 붙어있는 침착물인데 주성분은 세균입니다. 일반적으로 이에 붙어 있는 하얀 찌꺼기 있죠? 물로는 잘 안떨어지는데 양치질 빡시게 하면 없어지는 찝찝한 그것.. 20-30%가 고형성분이고 이중에 70-80%가 세균이랍니다. 즉 치태1mg당 1,000,00,000이상의 세균이 살고있답니다.
근데 얘들이 점점 석회화 되면서 치석이 된다고 보면 됩니다.
그런데 문제는 여기에 붙어있는 세균들이 우리 치아주위의 조직들을 점점 파괴하고 있다는 것이죠.
특히 치아와 잇몸사이에 숨어 박혀있는 치석들은 염증을 유발시키고 또한 치아를 지지하고 있는 치조골(치아를 둘러싼 뼈)을 녹인답니다. 잇몸속에 있는 치석은 아무리 칫솔질을 잘해도 제거가 되지 않는답니다. 제 경험상 어릴적에 이가 잘 안썩던 분들, 그래서 치과에 잘 안가시는 분들이 오히려 잇몸이 많이 상해서 발치할수 없을 정도로 심하게 되어 오시는 분들이 많습니다. 일단 한번 녹은 치조골은 재생이 거의 불가능하기때문에(물론, 부분적으로 뼈이식이나 뼈재생술을 할 수도 있음)
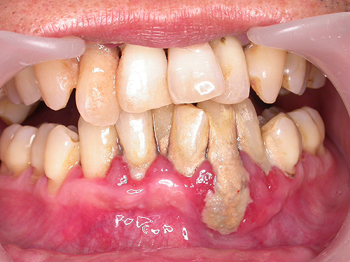
이가 많이 흔들리면 그때는 이미 늦기때문에 심해지기 전에 꼭 치석을 제거하는 스케일링을 하셔야 합니다, 아래 그림은 잇몸을 절개하여 잇몸속에 숨어있는 치석을 나타낸 그림입니다.
그림1같은 경우 치석이 엄청나게 붙어 있으므로 제거를 하고 나면 이뿌리까지 덮고 있던 치석이 없어지므로 처음에는 많이 시릴수 있습니다. 하지만 그 이후 양치질을 잘 하게 되면 건강한 잇몸이 이뿌리를 덮게 되어 건강한 잇몸으로 회복될 수 있답니다. 하지만 그대로 있다면 몇년 안되어 이뿌리까지 녹게 되면 발치할 수 밖에 없답니다. 35세 이후에는 이가 썩어서 빠지는것 보다는 치주병에 의해서 빠지는 것이 더 많답니다. 또한 설명드린것 처럼 스케일링 자체가 치아를 하얗게 만드는 것은 아니랍니다. 물론 치석이 붙어 있는 부분은 깨끗하게 되겠죠. 그림1같은 경우.. ^.^
그림2와 3은 치은연하에 있는 치석을 수술을 통하여 제거한 그림입니다.
일반적으로 잇몸이 붓고 피가 난다면 스케일링과 부과적인 잇몸치료가 더 필요하답니다. 약 아무리 먹어도 근본적인 원인을 제거 하지 않는다면 일시적인 완화밖에 되지않죠.. 요즘 티비에 나오는 광고보면 꼭 그 약만먹으면 치주병이 다 낳는것 같이 설명을 하는데 절대 그렇지 않습니다. 일시적인 완화가 조금 되기는 하지만 결국 치과에 오는 시간을 더욱 길게되어 병만 더 커져오게되는 것입니다.
제가 첫머리에 스케일링으로 인한 피해를 말씀드렸는데, 스케일링을 함으로써 얻는 피해가 아니라 그릇된 선입견으로 인하여 스케일링을 하지 않기에 더 큰 피해를 입는다는 것입니다.
또한 여기에 빠질수 없는 것이 칫솔질 하는 방법입니다. 치주병에 좋은 칫솔질 법은 따로 있답니다. 일반적인 위아래로 닦는 방법이 아니라 바스법이라고 하는 칫솔질 법입니다. 엄밀이 따지면 칫솔질이 가장 중요하고, 다음이 스케일링, 등입니다.
치과가 무섭다고 스케일링 망설이시는 분들 지금 당장 가셔서 자신의 잇몸상태를 꼭 확인하시기 바랍니다.
일반인들(치과의사와 그에 관련된 종사자를 제외함)은 스케일링을 하면 이가 하얘진다거나 아니면 이가 시리게 된다는 말을 많이 합니다. 하지만 정확하 스케일링을 왜 하는지는 잘 모르고 있는 경우가 많습니다.
치석이란 치아표면이나 잇몸등의 표면에 침착된 석회화물질로서 일반적으로는 석회화된 치태랍니다. 10대초반에 나타나 점점 증가하여 40대가 되면 100%존재한다고 보면 됩니다.
종류는 잇몸위로 우리가 볼수있게 나와있는 치석과 잇몸속에 숨어있는 치은연하치석이 있습니다.
그러면 여기서 치태란 무엇인가:
치태는 치아나 치은 및 다른 구강주조물에 붙어있는 침착물인데 주성분은 세균입니다. 일반적으로 이에 붙어 있는 하얀 찌꺼기 있죠? 물로는 잘 안떨어지는데 양치질 빡시게 하면 없어지는 찝찝한 그것.. 20-30%가 고형성분이고 이중에 70-80%가 세균이랍니다. 즉 치태1mg당 1,000,00,000이상의 세균이 살고있답니다.
근데 얘들이 점점 석회화 되면서 치석이 된다고 보면 됩니다.
그런데 문제는 여기에 붙어있는 세균들이 우리 치아주위의 조직들을 점점 파괴하고 있다는 것이죠.
특히 치아와 잇몸사이에 숨어 박혀있는 치석들은 염증을 유발시키고 또한 치아를 지지하고 있는 치조골(치아를 둘러싼 뼈)을 녹인답니다. 잇몸속에 있는 치석은 아무리 칫솔질을 잘해도 제거가 되지 않는답니다. 제 경험상 어릴적에 이가 잘 안썩던 분들, 그래서 치과에 잘 안가시는 분들이 오히려 잇몸이 많이 상해서 발치할수 없을 정도로 심하게 되어 오시는 분들이 많습니다. 일단 한번 녹은 치조골은 재생이 거의 불가능하기때문에(물론, 부분적으로 뼈이식이나 뼈재생술을 할 수도 있음)
이가 많이 흔들리면 그때는 이미 늦기때문에 심해지기 전에 꼭 치석을 제거하는 스케일링을 하셔야 합니다, 아래 그림은 잇몸을 절개하여 잇몸속에 숨어있는 치석을 나타낸 그림입니다.
그림1같은 경우 치석이 엄청나게 붙어 있으므로 제거를 하고 나면 이뿌리까지 덮고 있던 치석이 없어지므로 처음에는 많이 시릴수 있습니다. 하지만 그 이후 양치질을 잘 하게 되면 건강한 잇몸이 이뿌리를 덮게 되어 건강한 잇몸으로 회복될 수 있답니다. 하지만 그대로 있다면 몇년 안되어 이뿌리까지 녹게 되면 발치할 수 밖에 없답니다. 35세 이후에는 이가 썩어서 빠지는것 보다는 치주병에 의해서 빠지는 것이 더 많답니다. 또한 설명드린것 처럼 스케일링 자체가 치아를 하얗게 만드는 것은 아니랍니다. 물론 치석이 붙어 있는 부분은 깨끗하게 되겠죠. 그림1같은 경우.. ^.^
그림2와 3은 치은연하에 있는 치석을 수술을 통하여 제거한 그림입니다.
일반적으로 잇몸이 붓고 피가 난다면 스케일링과 부과적인 잇몸치료가 더 필요하답니다. 약 아무리 먹어도 근본적인 원인을 제거 하지 않는다면 일시적인 완화밖에 되지않죠.. 요즘 티비에 나오는 광고보면 꼭 그 약만먹으면 치주병이 다 낳는것 같이 설명을 하는데 절대 그렇지 않습니다. 일시적인 완화가 조금 되기는 하지만 결국 치과에 오는 시간을 더욱 길게되어 병만 더 커져오게되는 것입니다.
제가 첫머리에 스케일링으로 인한 피해를 말씀드렸는데, 스케일링을 함으로써 얻는 피해가 아니라 그릇된 선입견으로 인하여 스케일링을 하지 않기에 더 큰 피해를 입는다는 것입니다.
또한 여기에 빠질수 없는 것이 칫솔질 하는 방법입니다. 치주병에 좋은 칫솔질 법은 따로 있답니다. 일반적인 위아래로 닦는 방법이 아니라 바스법이라고 하는 칫솔질 법입니다. 엄밀이 따지면 칫솔질이 가장 중요하고, 다음이 스케일링, 등입니다.
치과가 무섭다고 스케일링 망설이시는 분들 지금 당장 가셔서 자신의 잇몸상태를 꼭 확인하시기 바랍니다.
댓글목록
등록된 댓글이 없습니다.














































